I know it's been awhile but I thought I'd save you any boring details and get right to the puppy action!
So since the last post, Zoey has been gaining weight rapidly. She started out at 9 or 10 pounds and now she's 16 1/2 pounds!
...I could tell just this last week that it started slowing her down.. There she is all pregnant and miserable..
Poor girl.
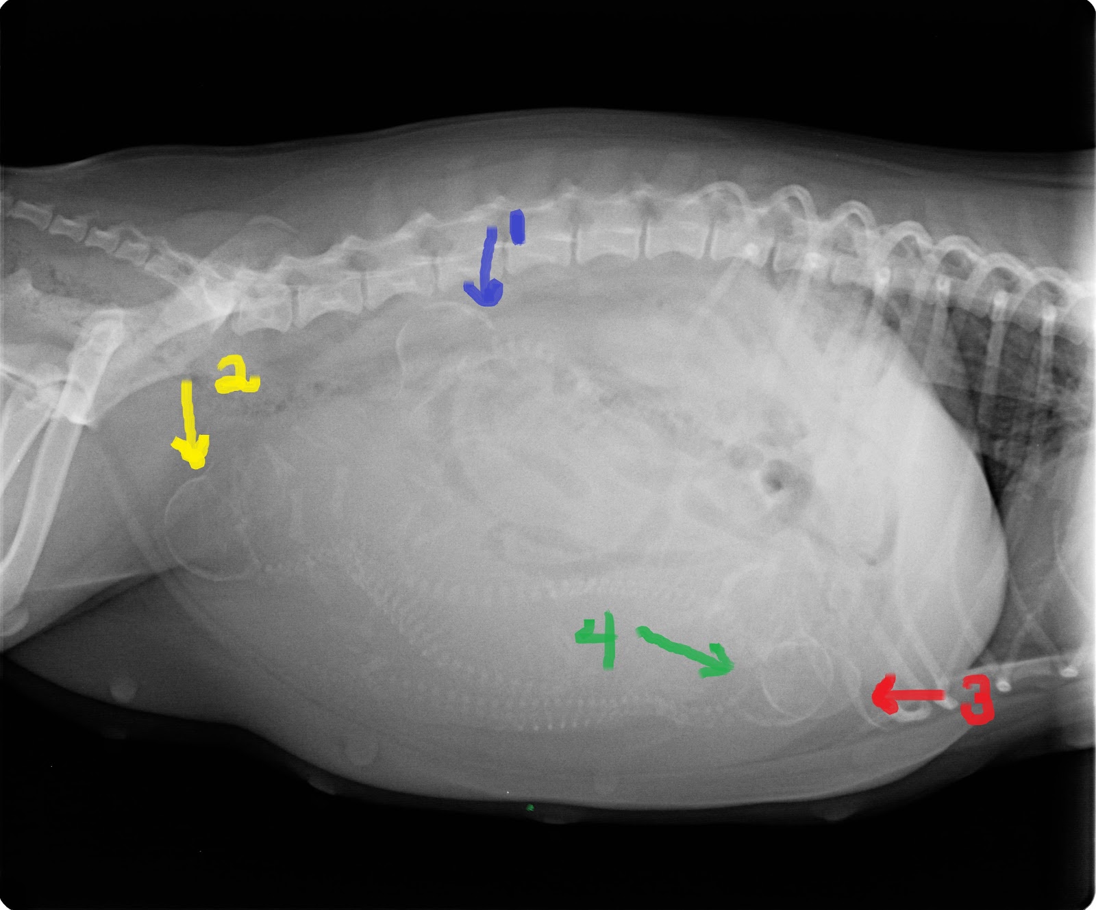
This last Tuesday, she went in for an xray so we could get a puppy count! :)
I was SO excited when the doc told me that 4 were on the way!
..BUT...
The more and more I looked at this xray when I got it home.. it seems like there are more than 4.. 
There were definetly more than 4 spines in there.. so we'll see! 4 was actually the most I expected for her first, but 5 or 6 wouldn't be too bad either.. :)I've been taking her temp a couple times a day.. So far, only 100 straight across. As soon 98 or 97 hits, I know it'll be go time!
We've emptied our entire closet and bought a bunch of little fuzzy blankets to fill it with. She's been digging around in it quite a bit, and I'm hoping she'll go right in the moment labor hits!
Most of the time, I find Snuffy in there napping :)
I couldn't just shoo him out, could I?!
I'm predicting babies will be here Sunday or Monday, So next post will be welcoming the New year, AND the babies!
Have a good one!




